澤攸科技ZEM系列掃描電鏡 | 生物活性玻璃載體負載的沙庫巴曲/纈沙坦鈉片對慢性心力衰竭大鼠心肌細胞的影響
日期:2025-12-05
研究背景
慢性心力衰竭是全球性的重大公共衛生挑戰,其高發病率、高死亡率和高再住院率為醫療體系帶來沉重負擔。盡管現有的臨床指南已推薦了血管緊張素受體腦啡肽酶抑制劑(ARNI)等多種藥物的聯合治療方案,但許多患者的病情仍在持續進展,預后不佳。這凸顯了當前治療策略的局限性,其核心挑戰之一在于傳統的全身性給藥方式難以保證藥物在心臟病變部位達到并維持理想的治療濃度,同時可能引發全身性副作用,從而限制了最終的治療效果。

因此開發能夠實現靶向、可控釋放的創新藥物遞送系統,已成為該領域有待突破的技術瓶頸和重要戰略需求。如該研究中探索的利用介孔納米生物活性玻璃作為沙庫巴曲纈沙坦的載體,正是為了解決這一難題。這類前沿技術旨在將藥物遞送至受損的心肌組織,通過優化藥物的生物利用度和局部濃度,在增強心臟保護和修復效果的同時,降低全身不良反應的風險,這不僅為提升現有藥物的治療潛力提供了新思路,也代表了未來心衰精準治療的重要發展方向。

針對上述問題,由唐山市工人醫院組成的團隊利用澤攸科技的ZEM20掃描電鏡進行了系統研究,其核心創新在于將介孔納米生物活性玻璃作為新型藥物載體,負載心力衰竭治療藥物沙庫巴曲纈沙坦,并證實該策略能顯著增強藥物對心肌細胞的保護效果。
標題:Effects of Bioactive Glass Carrier-Loaded Sacubitril/Valsartan Sodium Tablets on Cardiomyocytes From Rats With Chronic Heart Failure
期刊:International Journal of Pharmacology
網址:https://doi.org/10.31083/ijp44207

創新藥物遞送系統的制備與表征
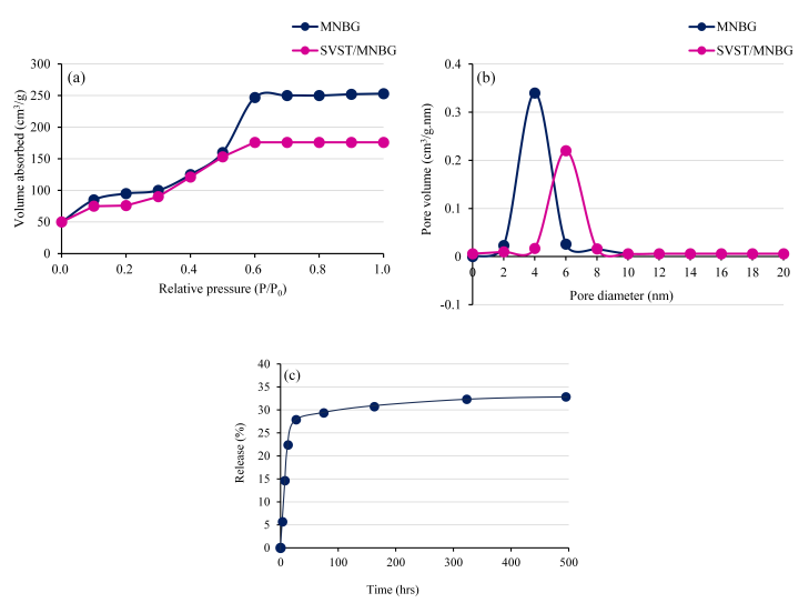
為提升心力衰竭治療藥物沙庫巴曲纈沙坦(SVST)的生物利用度和靶向效果,研究團隊首先采用溶膠-凝膠法,成功構建了一種新型的藥物遞送系統——負載了SVST的介孔納米生物活性玻璃(SVST/MNBG)微球。 為確保該系統的有效性,團隊利用了澤攸科技的ZEM20掃描電子顯微鏡,對其微觀形貌和粒徑進行了細致的觀察與分析,證實了其均一的球形結構。 此外,通過氮氣吸附/解吸實驗和體外藥物釋放實驗,結果表明該載體具有典型的介孔結構,并能在超過500小時的時間里實現藥物的穩定、持續釋放,證明其作為藥物緩釋載體具有巨大潛力。

圖 MNBG表征。(a) 氮氣吸附/脫附等溫線,(b) 孔徑分布曲線,(c) 隨時間變化的藥物釋放曲線
體內療效的綜合評估
研究團隊通過結扎大鼠腹主動脈的方式,成功建立了慢性心力衰竭(CHF)的動物模型,并將其分為模型組、常規SVST治療組以及新型SVST/MNBG治療組進行對比研究。 治療結束后,通過彩色多普勒超聲評估發現,與常規藥物組相比,SVST/MNBG治療組在改善心臟功能方面表現出顯著優勢,具體體現在左心室射血分數(LVEF)和短軸縮短率(LVFS)等關鍵指標的明顯提升。 同時,對心肌組織的生化檢測結果也顯示,SVST/MNBG能更有效地降低代表心肌損傷的肌酸激酶同工酶(CK-MB)和N末端B型利鈉肽原(NT-proBNP)的水平,并調節活性氧(ROS)與一氧化氮(NO)的平衡,從而顯著減輕心肌的氧化應激損傷。

圖 各組大鼠心功能指標。(a) 左室舒張末期內徑 (b) 左室收縮末期內徑 (c) 左室射血分數 (d) 左室短軸縮短率 (e) 左室后壁舒張末期厚度 (f) 左室后壁收縮末期厚度
心肌組織病理形態的改善
為了更直觀地評價治療效果,研究人員對各組大鼠的心肌組織進行了病理學切片分析。 結果顯示,未經治療的CHF模型組大鼠心肌纖維排列紊亂、細胞腫脹,出現明顯的病理損傷特征。 經過常規SVST治療后,這些損傷得到了一定程度的緩解,但仍可見少量纖維斷裂和細胞空泡。 相比之下,接受SVST/MNBG治療的大鼠心肌組織結構更為清晰,細胞核大小均一,纖維排列也更有序,表明負載了生物活性玻璃的新型藥物在修復受損心肌組織、改善心肌重塑方面具有更強的效果。

圖 各組大鼠心肌組織病理形態(×200,×400)。(a) 對照組,(b) 慢性心力衰竭組,(c) 沙庫巴曲纈沙坦片組,(d) 沙庫巴曲纈沙坦片/介孔納米生物活性玻璃組
細胞保護機制的深入探究
為揭示SVST/MNBG更優療效的深層原因,研究進一步探究了其對心肌細胞凋亡和自噬這兩個關鍵過程的影響。 通過Western Blotting蛋白印跡法檢測發現,SVST/MNBG能夠更顯著地上調抗凋亡蛋白Bcl-2的表達,同時下調促凋亡蛋白Bax的表達,從而更有效地抑制心肌細胞的死亡。 另一方面,該藥物還能顯著上調Atg5、Beclin1和p62等自噬相關蛋白的水平,并降低LC3II/I的比值,這表明它能夠調節心力衰竭狀態下失衡的細胞自噬過程,恢復細胞的正常生理功能。 這一發現揭示了SVST/MNBG通過“凋亡-自噬”雙重調控通路來發揮其心肌保護作用。

澤攸科技ZEM系列掃描電鏡是一款集成度高、便攜性強且經濟實用的科研設備。它具備快速抽真空、高成像速度、多樣的信號探測器選擇,適用于形貌觀測和成分分析,還能適配多種原位實驗需求。該設備對安裝環境要求低,不挑樓層,操作簡單,非專業人士也能快速上手,能夠更廣泛地應用于新材料研發、生命科學、失效分析、工業質檢等多個領域,為廣大科研院所和企業用戶提供了一套兼具高性能與高性價比的強大微觀表征解決方案。
作者:澤攸科技
